Home Perfil Espaço Serviços Casos Contato WhatsApp

Seu sorriso merece o melhor cuidado

Odontologia de excelência com tecnologia avançada e atendimento humanizado no coração do Brooklin, São Paulo.

Dr. Charles Jourdan Alberti — CROSP 91870

Implantodontia • Endodontia • Cirurgia Oral • Prótese Dental • Coroas • Estética • Odontogeriatria • Clareamento Dental a Laser • Harmonização Facial • Bichectomia • Preenchimento Labial • Lipo de Papada • Ácido Hialurônico • Lentes de Contato Dental • Facetas de Porcelana • Implantes Protocolo • Carga Imediata • Implantodontia • Endodontia • Cirurgia Oral • Prótese Dental • Coroas • Estética • Odontogeriatria • Clareamento Dental a Laser • Harmonização Facial • Bichectomia • Preenchimento Labial • Lipo de Papada • Ácido Hialurônico • Lentes de Contato Dental • Facetas de Porcelana • Implantes Protocolo • Carga Imediata

Dr. Charles Jourdan Alberti

Dr. Charles Alberti

Implantodontista — CROSP 91870

Experiência e Dedicação

Nosso principal objetivo é oferecer um atendimento de excelência com ética e profissionalismo, num ambiente onde saúde bucal proporciona melhor qualidade de vida e bem-estar para todos os pacientes.

"Saúde e beleza se unem para proporcionar melhor qualidade de vida e bem-estar para todos."
CROSP 91870 Especialista em Implantodontia Mestrando UNESP

Formação Acadêmica

  • Universidade Paulista — UNIPCirurgião Dentista formado pelo Curso de Odontologia, Campus Bacelar (1998 a 2003)
  • Faculdade Sarandi — Unidade Belém, SPEspecialista em Implantodontia (2007 a 2009)
  • UNESP — São José dos CamposMestrando no Curso de Ciências e Tecnologia Aplicada na Odontologia

Diferenciais: Tratamento de canal em sessão única com instrumentação rotatória. Atendimento em horários especiais. Planejamento digital e fotográfico. Atendimento a pacientes que falam inglês e espanhol.

Cuidado completo para o seu sorriso

Oferecemos uma ampla gama de tratamentos com técnicas modernas e equipamentos de última geração.

Odontologia

Implantodontia

Implantes unitários, múltiplos, protocolo e carga imediata.

Endodontia

Tratamento de canal em sessão única com instrumentação rotatória.

Cirurgia Oral

Extrações de sisos inclusos e cirurgias bucais em geral.

Lentes de Contato

Facetas e lentes de porcelana com planejamento digital.

Prótese Dentária

Coroas, pontes fixas, próteses parciais e totais.

Estética Dental

Clareamento a laser, restaurações estéticas e design do sorriso.

Odontogeriatria

Atendimento especializado e personalizado para a terceira idade.

Clareamento Dental

Clareamento a laser com resultados rápidos e duradouros.

Harmonização Facial

Bichectomia

Cirurgia estética para afinamento do rosto.

Preenchimento Labial

Harmonização e volume labial com ácido hialurônico.

Lipo de Papada

Redução de papada com ácido deoxicólico.

Rinomodelação

Harmonização nasal sem cirurgia com ácido hialurônico.

Cuidado especial para
pacientes internacionais

Atendimento a pacientes estrangeiros que falam a língua inglesa ou espanhol

Planejamento e execução de próteses, lentes de contato, facetas e outros procedimentos com auxílio de planejamentos digital e fotográfico, e desde que possível com tempo de trabalho especial. Útil para pessoas que estejam na cidade por pouco tempo ou que por algum motivo prefiram o tratamento diferenciado em menor tempo.

Clínica em funcionamento há mais de 7 anos no mesmo local e com estacionamento. Bem localizada entre os bairros do Brooklin, Campo Belo, Chácara Santo Antonio. E a poucos quilômetros de distância de Moema e Morumbi.

English Español Português

Nossos Serviços

Transformamos sorrisos com excelência e dedicação em cada procedimento.

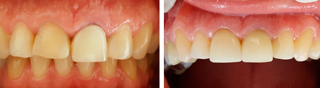
Lente de Contato Dental

Lente de Contato Dental

Transforme seu sorriso com lentes ultrafinas de porcelana. Resultado natural e duradouro com planejamento digital.

Entre em contato
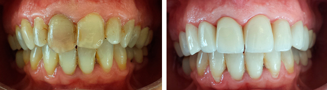
Estética Dental

Estética Dental

Clareamento a laser, restaurações estéticas e design do sorriso para um visual impecável.

Entre em contato
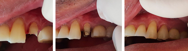
Reabilitação Oral

Reabilitação Oral

Recuperação completa da função e estética com implantes, próteses e tratamentos integrados.

Entre em contato

Antes e Depois

Acompanhe a evolução de alguns tratamentos realizados em nosso consultório.

Resultado incrível! Meu sorriso ficou exatamente como eu sonhava. Profissional atencioso e cuidadoso em cada detalhe.

— Paciente de Lentes de Contato

Nosso Espaço

Sinta-se em casa com atendimento personalizado e tratamento de excelência.

Um ambiente moderno e acolhedor preparado para oferecer o melhor em odontologia.

Nosso consultório foi pensado para que você se sinta confortável desde o primeiro momento. Equipamentos de última geração, ambiente climatizado e uma equipe dedicada a tornar cada visita uma experiência tranquila e agradável.

Trabalhamos com planejamento digital e fotográfico, garantindo previsibilidade nos resultados. Cada tratamento é personalizado, respeitando o tempo e as necessidades de cada paciente.

Tecnologia avançadaScanner intraoral, radiografia digital e planejamento 3D.

Atendimento humanizadoCuidado individualizado com foco no bem-estar e confiança do paciente.

Horários flexíveisAtendimento em horários especiais para sua comodidade.

Realize seus sonhos. Dê esse presente a você!

“Dr. Charles foi o melhor dentista que ja fui. Sai com a moral e autoestima super em alta, me olho no espelho e choro de felicidade e orgulho. Valeu!”

— Julio C.

Contato e Localização

Estamos prontos para atender você. Entre em contato e agende sua consulta.

Entre em Contato

Rua Joaquim Nabuco, 47 - Conj. 95
Brooklin Paulista, São Paulo - SP
CEP: 04621-000
Travessa da Av. Santo Amaro
Próximo a Brooklin, Campo Belo, Chácara Sto. Antonio, Moema e Morumbi.

Edifício com estacionamento e sistema completo de segurança.

(11) 97998-1079
(11) 2373-6100

Fale pelo WhatsApp
Fale Conosco